矯正治療

カレンダー WEB予約

Orthodontic大人の矯正治療

大人の矯正治療

こんなお悩みがある方はぜひ
ご相談ください

  • 出っ歯や歯並びの乱れが気になる
  • 受け口が気になっている
  • かみ合わせが悪く、顎が疲れやすい
  • 食べ物をうまく噛めない
  • 歯並びが気になって笑えない

このような歯並びの状態に当てはまっていますか?

叢生

1. 叢生

歯がでこぼこに並んでいる状態のことを指します。
このような歯並びでは、歯磨きの際にブラシがしっかり届きにくく、歯垢が残りやすくなってしまいます。その結果、虫歯や歯槽膿漏の原因となることがあります。

上顎前突

2. 上顎前突

上の前歯が前方に傾いて生えている状態を指します。
また、下の歯列全体が後ろに位置している場合にも、見た目が出っ歯のように見えることがあります。
このような状態では、前歯で唇を切ってしまったり、顔を強くぶつけた際に歯が折れやすくなるリスクがあります。

開咬

3. 開咬

噛み合わせたときに、前歯が接触していない状態を指します。
このような噛み合わせでは、発音が不明瞭になったり、前歯で食べ物をうまく噛み切れなくなることがあります。
舌の使い方のクセや、指しゃぶりなどの習慣が原因となることがあります。

過蓋咬合

4. かがい咬合

上の歯が下の歯を大きく覆うように深く噛み合っている状態を指します。
この噛み合わせでは、下の歯が上の歯茎に当たって刺激し、口内炎を引き起こすことがあります。
また、前歯が常に露出しやすくなることで乾燥し、虫歯の原因になることもあります。
さらに、口腔内の体積が少なくなることで舌が後退し、いびきや睡眠時無呼吸症のリスクが高まるほか、食いしばりが強くなり顎関節症のリスクが高まることもあります。

交叉咬合

5. こうさ咬合

上下の噛み合わせが左右どちらかにずれている状態を指します。
このような噛み合わせでは、左右のあごの成長に差が生じ、顔全体のバランスが崩れて歪みが出る場合があります。
また、左右のあごの自由な動きが妨げられ、顎の成長や噛み合わせのバランスが乱れることもあります。

下顎前突

6. かがく前突

出っ歯とは反対に、上の歯よりも下の歯が前に出ている状態を指します。
上顎の発達が小さい場合や、下顎が大きい場合に起こりやすい噛み合わせです。
このような歯並びでは、うまく食べ物を噛めなかったり、発音が不明瞭になることがあります。
また、場合によっては、大学病院をご紹介することもあります。

放っておくと、次のような影響が出てくることが
あります。

  • 歯磨きがしづらいため、虫歯や歯周病を引き起こしやすくなります。
  • 外側に突出している歯は、転倒やスポーツで顔面を強く打った際に、くちびるを傷つけるだけでなく、歯が折れやすくなる原因にもなります。
  • 咀嚼(口の中で食物を切断・粉砕し、唾液と混ぜて飲み込みやすい状態にする過程)がうまくできないため、胃腸に負担がかかりやすく、栄養の吸収が十分に行われなくなることがあります。
  • しっかり噛めないことで、運動能力や認知機能に影響が出る場合もあります。
  • 歯の位置が異常だと、口周りの筋肉の機能障害や顎の発育障害を引き起こすこともあります。
  • 重度の悪い歯並びは、正しい発音が難しくなり滑舌が悪くなることがあります。
  • 自分の歯並びに自信が持てず、人前で話したりコミュニケーションを取ることが億劫になるケースもあります。

矯正治療によって歯並びを整えることで
次のようなメリットが得られます。

  • 歯磨きしやすくなることで、虫歯や歯周病のリスクを減らすことができます。
  • しっかり噛めるようになり、食べ物から効率よく栄養を摂取できるようになります。
  • 噛み合わせが整うことで、運動能力や認知機能にも良い影響が期待されます。また、発音もしやすくなります。
  • 見た目が整うことで、歯並びに自信が持てるようになり、笑顔にも自信が生まれます。

Equipment矯正治療の装置は?

当院で取り扱っている矯正装置は、大きく3つのタイプに分類されます。

マルチブラケット装置

1.マルチブラケット装置

歯の表側に矯正装置を装着するタイプです。使用するワイヤーには、白く目立ちにくい「ホワイトワイヤー」と、金属の光沢がある「メタルワイヤー」の2種類があります。
見た目が気になる方には、自然に馴染むホワイトワイヤーがおすすめです。一方、メタルワイヤーは費用を抑えられるため、コスト重視の方に適しています。

マウスピース型矯正装置

2.マウスピース型矯正装置

取り外し可能なマウスピース型の矯正装置です。
当院では「シェアスマイル」と呼ばれるマウスピース型矯正装置を採用しております。
米国デンツプライシロナ社のデジタル3D技術を活用したマウスピース矯正システムです。高精度なカスタマイズ治療が可能で、治療時間や来院回数を抑えられるため、患者様の負担も軽減されます。取り外しができ使い勝手も良いため、矯正を諦めていた方にもおすすめです。

精密検査をもとに確実な治療計画を立案

当院では、矯正治療の検査に欠かせない口腔内写真撮影、iOS(当院ではプライムスキャン)を揃えています。

精密検査

プライムスキャン

歯型の情報を小型カメラで撮影(スキャン)することで、素早く立体的に型取りができます。そのスキャンデータを基に、歯並び改善後のシュミレーションを作成します。

プライムスキャン

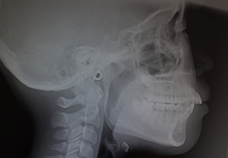
セファロ分析

セファロ分析は、頭部全体を撮影するレントゲンを使用し、矯正治療に不可欠な機器です。治療前の状態から経過を追いながら撮影を行うことで、矯正治療後の変化を確認することができます。撮影を通じて、上下の顎の大きさや形、ずれ、歯の傾斜角度や口元のバランスを把握し、そこから最適な治療計画を立てます。

セファロ分析

矯正治療の期間は?

基本的には月に1回のペースで通院いただくことで、治療の目安は約2~3年(通院回数は24~36回程度)となります。ただし、治療期間には個人差がありますので、検査・診断を行ったうえで、詳しくご説明いたします。

Flow矯正治療の流れ

初診相談

1. 初診相談

患者様のお悩みやご希望をお聞きし、お口の状態を確認いたします。治療方法や期間、費用についてご説明し、疑問や不安にお答えします。

精密検査

2. 精密検査

レントゲン撮影、口腔内写真撮影、歯型採取などの詳しい検査を行います。これらのデータをもとに、最適な治療計画を立案します。

診断・治療計画説明

3. 診断・治療計画説明

検査結果をもとに、具体的な治療方法や期間、費用について詳しくご説明します。ご納得いただいてから治療を開始いたします。

治療開始準備

4. 治療開始準備

虫歯や歯周病がある場合は先に治療を行います。お口の環境を整えてから矯正治療をスタートします。

装置装着

5. 装置装着

ブラケットやマウスピースなどの矯正装置を装着します。装置の使用方法やお手入れ方法について詳しくご説明します。

調整・経過観察

6. 調整・経過観察

月に1回程度のペースで通院していただき、装置の調整や歯の動きをチェックします。必要に応じてワイヤーやマウスピースを交換します。

動的治療終了

7. 動的治療終了

歯並びが整い、理想的な位置に歯が移動したことを確認します。ブラケットなどの装置を取り外します。

矯正装置を外したあとは、年齢に応じて対応が異なります。
小児(小学生まで)の場合は、歯や顎の成長を見ながら経過観察を行います。
中学生・高校生〜大人の矯正では、歯並びの後戻りを防ぐために保定(リテーナーの装着)を行います。

保定開始

8. 保定開始

歯の後戻りを防ぐため、リテーナー(保定装置)を装着します。美しい歯並びを維持するための大切な期間です。

メンテナンス

9. メンテナンス

定期的に通院していただき、歯並びの安定や口腔内の健康状態をチェックします。長期的な健康維持をサポートします。

Q&Aよくある質問

歯並びは治療しなければならないのでしょうか?

歯並びが悪い状態を放置すると、虫歯や歯周病のリスクが高まるだけでなく、将来的にかみ合わせの不具合や頭痛、肩こり、顎関節症などの症状が引き起こされる可能性があります。歯並びを整えることで予防できるリスクがあるため、気になる場合は一度歯科医院で検査を受けることをおすすめします。

矯正治療は痛みを伴いますか?

矯正治療では、ワイヤーやマウスピースで力をかけて歯を動かします。治療開始直後や、マウスピースを交換したばかりの時期には痛みを感じやすいですが、時間とともに痛みは和らぎます。もし痛みが長時間続いたり、我慢できないほどの痛みを感じた場合は、遠慮せずにご相談ください。

矯正治療で抜歯が必要になることはありますか?

治療計画を進める中で、歯並びを整えるためにスペースが足りない場合には、抜歯を検討することもあります。抜歯が必要な場合は、その理由を丁寧に説明し、ご納得いただいた上で処置を行います。